Dental Implants Prosper
Rebuild Your Smile for a Lifetime

At Wisdom Oral & Maxillofacial Surgery, we know how important it is for you to have a complete set of teeth that looks as good as it functions. That’s why we take great care and make sure that we understand what you desire from your dental implant procedure. We know that each patient has distinct needs, so we always tailor our care to each unique smile. With our help, you’ll soon enjoy a full and healthy smile again that will last for decades to come. To get started with dental implants in Prosper, schedule your consultation with us today.
Why Choose Wisdom Oral & Maxillofacial Surgery for Dental Implants?
- Led by Board Certified Oral Surgeon & Periodontist
- Able to Seamlessly Coordinate with Your General Dentist
- In-Network with Most Dental Insurance & Accept Medical Insurance
What Are Dental Implants?
Dental implants are small, biocompatible titanium posts. This makes them the perfect replacement for the roots of missing teeth, as they’re able to naturally fuse with the jawbone and provide it with necessary blood flow and stimulation to prevent it from eroding with time. Once the implants are secured within the bone, our team will be able to restore it with a custom-crafted dental crown, bridge, or denture, replacing the entire structure of your missing tooth or teeth.
The Dental Implant Process
Dental implants are more complex than other tooth replacements like dentures and bridges, so it makes sense that the process for receiving them is also more involved. At Wisdom Oral & Maxillofacial Surgery, Dr. Houari and Dr. Walker follow a four-step method that increases the chances of a successful outcome. If you’re curious about the process of getting dental implants, continue reading below. You’ll learn more about each step and how we use the latest surgical methods and technology to place dental implants that can last a lifetime.
Initial Dental Implant Consultation
At your initial consultation, our team will conduct a thorough examination of your mouth and go over your oral and medical history with you. This will help us determine whether dental implants are the right option to restore your smile.
If you’re not a candidate immediately, we’ll lay out a treatment plan to help get your oral health back in shape with gum disease treatment, extractions, bone grafts, and other procedures designed to strengthen your smile.
We’ll also go over payment and financing options, so you’ll know exactly what to expect before committing to your treatment.
Dental Implant Surgery
Our team at Wisdom Oral & Maxillofacial Surgery specializes in the placement and restoration of dental implants, so you won’t have to worry about being referred out for your surgery. Instead, our team will complete it all in-house. This means your procedure will be cheaper and more convenient.
When the surgery begins, we’ll first numb your mouth with a local anesthetic to block out the pain. If you want an extra layer of relief and relaxation, we can also provide various forms of dental sedation. Next, we make a small hole in your gum and jawbone for the implant fixture before placing it. Finally, the implant has a healing cap placed over it, and the gum is closed.
Dental Implant Osseointegration & Abutment Placement
After your implants have been placed, it will take between three and six months for them to fuse with your jawbone through a process called osseointegration. This step is critical for success as it ensures your implant will be solid in your mouth, allowing you to bite and chew properly.
After the initial healing period, you may need to come back for another small surgical procedure. We’ll check your healing progress and place an abutment if all is going according to plan. This is a connector piece that will eventually hold your restoration in place. Once the abutment is on, you’re all set to have your restoration/crown fabricated.
Delivery of Dental Implant Restorations
Lastly, you’ll return to your general dentist or prosthodontist after you’ve fully recovered to have your restoration placed. Depending on your treatment plan, this could be a single crown, a bridge, or a denture, depending on how many teeth you’ve lost.
Once this final placement and exam are done, you’re all set to go home and enjoy the many benefits of your brand-new smile!
Benefits of Dental Implants
Eating the foods you want and being able to smile without worry are simple luxuries that everyone should have, and dental implants can help you enjoy them again. Rest assured knowing that our team of professionals is devoted to enhancing your quality of life. Not only will your dental implant procedure be carried out by the best hands in the business, but your aftercare and recovery process will also be a top priority. From there, you can look forward to your new teeth lasting for decades to come with minimal maintenance.
Improved Oral Health
Only with dental implants will you be able to truly attain better oral health. Because the implants are surgically implanted into your jawbone, they continue to stimulate it and prevent facial changes or sagging, as well as additional bone and tooth loss.
Enhanced Appearance
Dental implants are natural-looking and feel just like regular teeth. This makes for a comfortable and seamless fit that creates a beautiful aesthetic.
Boosted Confidence
When you look good, you feel even better, which is why dental implants can boost your confidence and help you to embrace new opportunities.
Easy Maintenance
There are no special products or appliances you need to buy to keep your implants looking and feeling their best. Simply maintaining a good oral hygiene routine and seeing your dentist every six months for regular checkups and cleanings is all you need to do.
Long Lifespan
Dental implants are designed to last decades, if not a lifetime. While the restoration will likely need to be replaced over time, the implant itself can remain in place and untouched for the rest of your life (with proper maintenance and care).
Who Dental Implants Can Help
In order for a patient to be a qualified candidate for dental implants, they need to meet at least three requirements: good oral health, stable overall health, plus they must have enough jawbone to support the new teeth. If a patient is lacking any, we’re more than ready to help. Once a patient is approved, we’re able to provide a variety of solutions to replace any number of teeth.
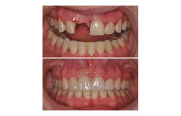
Missing One Tooth
A single-tooth dental implant does not require support from the adjacent teeth. Rather, an implant is a small titanium post that replaces the root of the lost teeth. After we place the implant within your jawbone, your body will initiate a process known as osseointegration, wherein it will bond with the implant. Osseointegration may take several months. During that period, you’ll have a temporary crown on top of the implant. After the bond between your bone and the implant is nice and strong, you’ll receive a permanent, custom-made crown to replace the temporary one.
In the vast majority of cases, a single tooth implant is a better way to replace a lost tooth than a fixed bridge. That is because dental implants offer many advantages that regular dental bridges simply cannot provide:
- Placing a bridge requires that the abutment teeth be filed down to fit beneath their crowns. An implant is self-supporting, so it lets your remaining natural teeth remain intact.
- An implant stimulates the jawbone and prevents it from losing mass. A fixed bridge does not support bone health.
- A dental implant can last for decades, whereas a bridge may endure for just 10 years or so.
- A dental implant looks, feels, and functions like a natural tooth. You might even forget that it’s there!
Missing Multiple Teeth
In the past, you had the option to choose between three forms of tooth replacement, whether you needed to restore a single tooth or all the teeth in your mouth. These included dental bridges and partial dentures. The good news is that all of these solutions can be combined with dental implants to restore teeth more effectively.
Dental bridges are designed to replace one to three missing teeth at a time. Typically, you would need to modify existing teeth so they could have a stable solution. However, bridges can be customized to fit on top of dental implants, ensuring a reliable foundation.
The same is true for partial dentures, which are designed to replace teeth that may be missing on opposing sides of the mouth. Keeping them in place does not require denture adhesive or metal hooks when you use dental implants. Instead, four to six implants are placed throughout the mouth, giving the restoration a suitable foundation.
Missing All Teeth
Rather than replacing each tooth individually with implants, we can use just four to six strategically placed roots to anchor a full denture directly to the jawbone. Implant dentures are smaller than regular ones, creating a more comfortable fit, but they are stronger as well, enabling a patient to recover more of their bite strength.
Learn More About Implant Dentures
All-on-X / Teeth-in-a-Day
Thanks to our doctors’ advanced training, they’re able to place and restore dental implants in the same appointment and help a patient recover an entire row of missing teeth in record time. With the All-on-X procedure, implants are positioned within the thickest part of the jawbone to provide maximum support for a brand new denture.
Dental Implant Maintenance
Dental implants have the potential to last for a lifetime — but only if they receive proper care. Fortunately, caring for dental implants is easy; it is similar in many ways to caring for natural teeth. You must make oral hygiene one of your top priorities, protect your implants from physical trauma, and visit your dentist for regular checkups. Your diligence in adhering to these simple guidelines will help your dental implants and the prosthetic teeth that they support to stand the test of time.
Prioritize Your Oral Hygiene
Oral hygiene is perhaps the most important aspect of the aftercare of dental implants. Maintaining a clean mouth will minimize your risk of infections that could invade the tissue around your implants and jeopardize their long-term success.
Here are some habits that should be part of your oral hygiene routine:
- Gently brush twice a day with a non-abrasive toothpaste, making sure to clean the area along your gumline
- Floss once a day
- Use an antibacterial mouthwash twice a day
- Avoid the use of tobacco
- Drink plenty of water
- Stick to a nutritious, low-sugar diet
Protect Your New Smile
In addition to working to prevent infection, you must also protect your implants from physical trauma. Damage to the implants themselves or to the surrounding tissue could compromise your smile’s functionality. You can guard against trauma by:
- Wearing a custom mouthguard when you play sports
- Wearing a nightguard if you tend to grind or clench your teeth while you are asleep
- Not biting down on any extremely hard foods (like ice or hard candies)
- Taking reasonable safety measures on a day-to-day basis to avoid trips, falls, and accidents that might damage your mouth
- Not using your new teeth to open packages or trim your fingernails
Schedule Routine Checkups & Cleanings
Even if you have replaced all of your teeth with dental implants, it is important that you continue to visit your dentist as often as they recommend. At these appointments, your dentist or hygienist will thoroughly clean your mouth. They may also remove your prosthetic teeth and clean your implant abutments. They’ll thoroughly check for any early signs of infection or trauma, and they’ll answer any questions you have about caring for your implants and the prosthetic teeth they support. If their exam uncovers any cause for concern, they’ll design a treatment plan to get your smile’s health back on track.
Understanding the Cost of Dental Implants
Dental implants are an extremely versatile treatment, and because of this, the procedure can vary quite a bit from patient to patient, which will influence the cost as well. The number of implants needed, the type of restoration used, and several other factors can make getting implants more or less expensive. At Wisdom Oral & Maxillofacial Surgery, our implant treatment plans are always customized to each patient. At a consultation, we’ll go over all pricing information with you so you’ll know exactly what to expect at each step of the process.
While it’s true that dental implants tend to have a higher upfront cost compared to regular dentures and bridges, they often prove to be the more wallet-friendly option thanks to their longevity. With traditional tooth replacements, patients will have to completely redo them every five to seven years on average. Studies show 90-95% success rates after 10 years and many lasting 20-30+ years. Proper oral hygiene, regular dental check-ups, a healthy lifestyle, avoiding tobacco, and managing teeth grinding (bruxism) are key to maximizing their longevity.
The Stages of Dental Implant Treatment
Some of the treatment stages that you might go through include:
- Your initial consultation
- Preparatory treatment, such as bone grafting or extractions
- Implant placement surgery
- Abutment placement
- Design and placement of your final restoration
It is worth noting that each phase of treatment comes with its own price. Hence, you will have time to plan your finances before each portion of your journey toward a restored smile.
Every patient is unique, which means that every dental implant treatment plan is unique, too. The cost of your procedure will depend on numerous factors. For example, a single dental implant will logically cost less than full mouth reconstruction. Different types of dental implants and various procedures are used to place them in the bone. During your consultation, we will explain your recommended treatment plan and provide you with a candid cost estimate.
Are Dental Implants Worth the Investment?
In a word, yes! Dental implants offer more benefits than other treatments. For example, they provide the highest level of stability and strength. They also promote jawbone health. Also, keep in mind that while dental implants present a higher initial cost than traditional prosthetics, they may present a better long-term value. This is because implants tend to last for many decades, whereas other treatments, such as traditional dentures or a bridge, may need to be replaced every 5 – 10 years or so.
Does Dental Insurance Cover Dental Implants?
Dental insurance usually does not cover dental implants, but some plans do. You will need to check your specific policy to see how it applies. Even if it does not cover the implants themselves, it may pay for part of the cost of your preparatory treatment or your final restoration. We are in-network with a number of dental insurance companies and will be happy to help you maximize your benefits! We also accept third-party financing from Cherry and CareCredit, both of which offer reasonable payment plans that can fit into almost any household’s budget.
Our Dental Implant Technology
Dental implants are able to provide patients with all sorts of benefits that cannot be achieved with other tooth replacement options. With modern dental techniques and technology, dental implants have an incredible success rate of over 95%! Here are some of the advanced technologies that we can attribute this to.
3D Cone Beam Imaging / 3D CT Scanning
Dental X-rays are able to help us see many of the oral structures that are typically hidden and difficult to see with the naked eye. This includes the roots of the teeth and jawbone. However, X-rays aren’t able to capture everything. That’s why we also map out your mouth with the 3D cone beam CT scanner. This technology helps by showing us important details that aren’t always clear with digital X-rays. This includes nerve pathways, blood vessels, and the thickness of your jawbone. With this scanner, we are able to carefully plan where your dental implants should be placed for the highest chance of success.
Guided Dental Implant Surgery
Using the CBCT scan of your mouth, we can create a 3D-printed surgical guide. This helps us to have a clear indication of where exactly your dental implants need to be inserted. This enhanced precision provided by the surgical guide can make your treatment noticeably more comfortable and reduce inflammation. Treatments performed with a guide also tend to require smaller incisions, making the recovery period more comfortable.
Dental Implant Post-Op Instructions
Recovering from dental implant surgery can seem intimidating, but with proper care, your recovery can be smooth and speedy. At Wisdom Oral & Maxillofacial Surgery, we want to ensure you know exactly what to expect and how to support your healing process. We’ve outlined what you should do right after surgery, normal side effects, dietary recommendations, and hygiene tips to promote a successful recovery. If anything feels abnormal, don’t hesitate to reach out to us.
What to Do Directly After Dental Implant Surgery
After dental implant surgery, it’s crucial to protect the blood clot that forms at the surgical site to ensure proper healing. To avoid disturbing it, follow these guidelines:
- Do not spit (either swallow saliva or use tissues)
- Avoid drinking through a straw
- Refrain from smoking, at least for the first day
- Do not touch the surgical area with your fingers or tongue
Common Side Effects When Recovering from Dental Implant Placement
If this is your first oral surgery, you may be unsure of what symptoms are normal. It’s important to remember that some discomfort is expected, and it should improve over time. However, if any symptoms seem to worsen or persist, contact us right away. Here are a few side effects you might experience during the healing process:
- Intermittent Bleeding: Mild bleeding can continue for a few days. If needed, apply gentle pressure with the gauze provided to stop the bleeding.
- Swelling: Swelling typically lasts up to a week. To reduce it, apply a cold compress to your jaw for about 10 minutes at a time.
- General Discomfort: Some discomfort is normal, but it can usually be managed with pain medication, either prescribed or over-the-counter.
Your Diet After Dental Implant Surgery
For the first few days following your procedure, stick to a soft-food diet to avoid stressing the surgical site. Some great options include:
- Mashed potatoes
- Yogurt
- Ice cream
- Pudding
- Scrambled eggs
- Pasta
- Soup (ensure it’s not too hot)
Post-Op Health & Oral Hygiene
Keeping your mouth clean is crucial for healing and ensuring that the implants integrate well with your jawbone. You can brush your teeth as usual the day after surgery, but take extra care around the surgical area. We recommend rinsing your mouth with salt water two to three times daily. Avoid mouthwashes that contain alcohol, like Listerine or Scope, as they may irritate the surgical site.
What to Do After Your New Teeth Are Attached
Once your gums are fully healed, we’ll place the final restoration – your crown, bridge, or denture – onto the implants. Some mild discomfort is common during this phase, but it’s manageable with pain medication. Once the new teeth are in place, you’ll be ready to enjoy your new, fully functional smile the same day!
Dental Implant FAQs
Does getting dental implants hurt?
Before your surgery, the treatment area for your tooth replacement is given a local anesthetic, effectively numbing it. This means that you will not feel anything during the implant procedure. We’ll make sure that the area has completely received the local anesthetic before beginning treatment, ensuring that your implant procedure is as comfortable as possible. With that said, after the implant has been placed and the anesthetic wears off, you may experience some minor discomfort and swelling. This is normal following oral surgery.
Do I still need to brush and floss if I have dental implants?
Yes. While the implant crown that covers the implant is not technically capable of developing decay (because it is made from porcelain, an inorganic material), that doesn’t mean you can’t still develop an infection of the gum tissue surrounding the implant. For this reason, you need to practice sufficient at-home brushing and flossing daily.
How do I make my dental implants last?
While dental implants do not require any specialized care to maintain, there are important steps you’ll need to take to ensure that they last for many decades (and ideally for the rest of your life). First, you’ll need to brush at least twice a day using a fluoridated toothpaste to prevent the buildup of plaque and bacteria. You’ll also need to floss at least once a day to remove food debris and plaque from the sides of your implant. On top of that, you should still visit our office once every six months for a routine exam and checkup from our office. We also advise against using any tobacco products, especially right after your surgery, as this can cause the implant to fail.
Are dental implants safe to get?
When placed by a professional, such as one of our highly trained dental specialists, you can expect your dental implant surgery to be a total success. As experienced dental professionals, Dr. Houari and Dr. Walker are prepared to perform a detailed exam of your current bone and soft tissue health, ensuring that you are eligible for implant treatment in the first place. When all preparatory steps are performed properly, dental implants have a success rate as high as 98 percent.
What if I’m nervous about my dental implant treatment?
If you are feeling anxious about your treatment in any way, we want to reassure you that you have nothing to be afraid of. Not only are you in good hands, but you can also receive calming sedation services entirely in-house. This includes mild nitrous oxide and powerful IV sedation.